近日,我院泌尿外科团队在刘兆勇主任带领下,经后腹腔镜顺利切除一直径达9厘米巨大肾上腺肿瘤。刷新了该科腔镜下手术切除肾上腺巨大肿瘤纪录。

病例
后腹腔镜下巨大肾上腺肿瘤切除术
该患者,男性,52岁,因“尿频2年”住院,检查发现左侧肾上腺肿瘤(9cm)。
考虑瘤体大、位置较深,周围布满大血管、淋巴管及脂肪组织,肾上腺组织易脆出血,泌尿外科团队经术前讨论,决定行经后腹腔肾上腺肿瘤切除术。
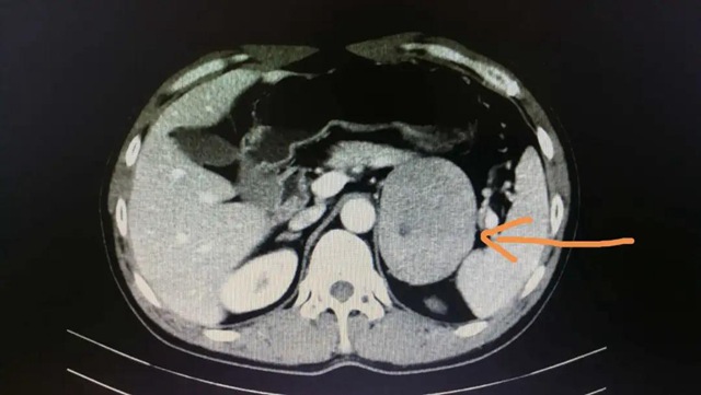
▲CT扫描下的肾上腺肿瘤
充分完善术前准备后,于2020年6月9日在全麻下行该手术,手术历时2.5小时,术中生命体征平稳,术后病理结果提示:肾上腺嗜酸细胞瘤,术后患者恢复良好,7天后顺利出院。
小编脑补了一下
切除肿瘤直径9厘米,鹅蛋那么大啊
默默点个赞

据刘兆勇主任介绍:
肾上腺肿瘤手术属泌尿外科风险极高手术,多年前甚至列为手术禁区,死亡率极高。
近年来,随着腹腔镜等微创技术的发展以及对疾病的深入认知和风险防范,手术成功率已有很大提高,但肿瘤直径超过5cm,手术难度就很高了。
我院泌尿外科于2019年开展该手术,截止目前,已成功开展10余例。
本次手术,成功刷新了我院该手术切除肾上腺肿瘤体的最大直径。

——科普时间到——
肾上腺是体内重要的内分泌器官,由于其位置与肾脏关系密切,故归属于泌尿外科系统疾病。
肾上腺能够分泌多种人体必需的激素。肾上腺发生肿瘤后,会导致激素分泌异常,从而产生一系列症状。
常见症状有:向心性肥胖、高血压、低血钾等,也可有无症状的肾上腺肿瘤。
传统的肾上腺手术一般是经腰部或者经腹部切口,切口较大,创面较广泛,患者术后恢复较慢。此外,肾上腺位置较深,进行开放手术难度较大。
而腹腔镜手术借助腹腔镜的放大作用和清晰的摄像监视系统,其对于此类较深部位的手术视野,比采用常规开放手术所显露的视野更加清晰,因此,腹腔镜下肾上腺手术已被公认为肾上腺疾病手术治疗的“金标准”。